Avant / après blanchiment dentaire: à quoi s’attendre réellement
Le avant / après d’un blanchiment dentaire fait rêver, mais à quoi faut-il réellement s’attendre ? Découvrez les vrais résultats, les limites et les conseils d’experts dbwhitening pour un sourire éclairci de façon naturelle et maîtrisée.
Introduction
Les photos avant / après de blanchiment dentaire sont partout et promettent souvent un sourire ultra-blanc en une séance. Mais dans la réalité, les résultats varient d’une personne à l’autre. Chez dbwhitening, la priorité est de proposer un blanchiment réaliste, adapté à chaque sourire, sans fausses promesses.
Alors, que peut-on vraiment attendre avant et après une séance de blanchiment dentaire professionnel ? Voici ce qu’il faut savoir.
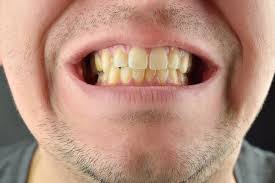
Avant la séance : état des dents et attentes réalistes
Avant un blanchiment dentaire, les dents présentent généralement :
une teinte naturelle jaunâtre ou ivoire
des colorations dues au café, au thé, au tabac ou à l’alimentation
parfois des zones plus foncées selon l’émail
Chez dbwhitening, un échange préalable permet d’évaluer :
la teinte de départ
la sensibilité éventuelle des dents
le résultat possible selon le profil du client
Un bon blanchiment commence toujours par des attentes réalistes.


Après la séance : résultats visibles mais naturels
Juste après un blanchiment dentaire professionnel, le changement est visible :
les dents paraissent plus lumineuses
la teinte est plus uniforme
le sourire semble plus frais et plus éclatant
Cependant, le résultat final n’est pas un blanc artificiel. Chez dbwhitening, l’objectif est un blanc harmonieux, cohérent avec la carnation, les lèvres et l’ensemble du visage.
Le résultat optimal se stabilise généralement quelques jours après la séance.


Les limites du avant / après : ce que le blanchiment ne change pas
Il est important de savoir que le blanchiment dentaire ne modifie pas :
les couronnes, facettes ou plombages
la forme des dents
les défauts structurels de l’émail
Certaines teintes peuvent aussi réagir différemment selon la nature des dents. C’est pourquoi dbwhitening privilégie toujours une approche personnalisée, honnête et maîtrisée.
Un bon avant / après est avant tout un résultat équilibré, pas excessif.
[Insérer ici une photo – sourire naturel après blanchiment]
Conclusion
Le avant / après d’un blanchiment dentaire peut être spectaculaire, à condition d’être bien encadré et adapté à chaque personne. Chez dbwhitening, le blanchiment est pensé comme un soin esthétique global, au service d’un sourire naturel, élégant et durable.
S’informer et comprendre les limites permet d’éviter les déceptions et d’obtenir un résultat réellement satisfaisant.
Adresse
Rte de Saint-Julien 3A, 1227 Genève, Suisse

© 2025 - Debo beauty
Contacts
+41 77 232 34 35
contact@debobeauty.ch
